Penulis: Prof. Madya Dr. Haslina Taib
Pensyarah dan Pakar Pergigian Periodontik.
Pusat Pengajian Sains Pergigian, Universiti Sains Malaysia
Apabila berbicara tentang diabetes atau kencing manis, kebanyakan kita memikirkan tentang paras gula dalam darah, suntikan insulin, komplikasi pada mata atau buah pinggang, serta kawalan pemakanan yang agak ketat. Namun, jarang sekali masyarakat mengaitkan penyakit ini dengan kesihatan gusi. Begitu juga apabila seseorang mengalami gusi berdarah atau gigi longgar, mereka jarang menyedari bahawa keadaan tersebut mungkin mempunyai kaitan dengan kawalan gula dalam darah. Hakikatnya, penyakit gusi dan diabetes berkongsi satu hubungan yang bukan sahaja berkait rapat, malah bersifat dua hala dan saling mempengaruhi antara satu sama lain.
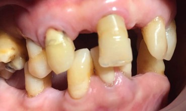
Penyakit gusi, atau periodontitis, ialah jangkitan kronik bakteria yang melibatkan tisu penyokong gigi termasuk gusi, ligamen periodontal dan tulang alveolar. Ia berlaku kerana kebersihan mulut yg teruk dan lazimnya bermula sebagai keradangan ringan pada gusi, dikenali sebagai gingivitis, yang dicirikan oleh gusi merah, bengkak dan mudah berdarah. Tanpa rawatan, keradangan ini boleh berkembang menjadi jangkitan yang lebih dalam sehingga merosakkan tulang yang menyokong gigi. Apabila tulang mula menyusut, gigi akan menjadi longgar dan akhirnya boleh tercabut (Gambar 1). Proses ini selalunya berlaku secara perlahan dan tanpa rasa sakit yang ketara, menyebabkan ramai pesakit hanya menyedari keadaan mereka apabila penyakit telah berada pada tahap yang serius.

Diabetes pula ialah penyakit metabolik kronik yang dicirikan oleh paras glukosa darah yang tinggi akibat gangguan penghasilan insulin, tindakan insulin, atau kedua-duanya sekali. Paras gula yang tinggi secara berpanjangan boleh merosakkan saluran darah kecil dan besar, mengganggu fungsi saraf, serta melemahkan sistem imun badan. Komplikasi diabetes yang tidak terkawal boleh menjejaskan hampir setiap organ utama, termasuk mata, buah pinggang, jantung dan sistem saraf. Dalam konteks ini, kesihatan mulut tidak terkecuali daripada kesan penyakit tersebut.
Hubungan antara diabetes dan periodontitis mula mendapat perhatian serius dalam dunia perubatan dan pergigian sejak beberapa dekad lalu. Malah, penyakit gusi pernah dinyatakan sebagai “komplikasi keenam diabetes” menggambarkan kaitan yang jelas di antara kedua-dua penyakit ini. Pelbagai kajian epidemiologi, klinikal dan makmal telah dijalankan untuk memahami mekanisme di sebalik hubungan ini.
Pesakit diabetes, khususnya mereka yang mempunyai kawalan gula yang lemah, didapati mempunyai risiko yang jauh lebih tinggi untuk mengalami periodontitis berbanding individu tanpa diabetes. Sesetengah kajian melaporkan risiko ini meningkat sehingga tiga kali ganda. Paras gula darah yang tinggi memberi kesan langsung kepada keupayaan badan untuk melawan jangkitan. Sel-sel pertahanan seperti neutrofil menjadi kurang cekap dalam membunuh bakteria, manakala proses penyembuhan luka menjadi lebih perlahan. Keadaan ini mewujudkan persekitaran yang sesuai untuk bakteria dalam plak di celah gigi berkembang dan mencetuskan keradangan berpanjangan pada gusi. Kesan yang kerap berlaku di dalam mulut termasuklah gusi bernanah, mulut kering, karies gigi dan juga jangkitan kulat Candida.
Selain itu, diabetes menyebabkan pembentukan bahan yang dikenali sebagai advanced glycation end products (AGEs). Bahan ini terhasil apabila glukosa berlebihan bergabung dengan protein atau lipid dalam badan dan merangsang penghasilan bahan atau mediator keradangan seperti tumor necrosis factor-alpha dan interleukin-6. Keadaan ini mempercepatkan kemusnahan tisu dan tulang penyokong gigi. Oleh itu, bukan sahaja pesakit diabetes lebih mudah mendapat penyakit gusi, malah keadaan penyakit yang dialami sering kali lebih agresif dan sukar dirawat.
Namun, hubungan ini tidak terhenti setakat itu. Penyelidikan saintifik menunjukkan bahawa periodontitis sendiri boleh menjejaskan kawalan diabetes. Penyakit gusi ialah satu bentuk keradangan kronik yang berterusan. Apabila gusi dijangkiti, bakteria dan produk toksiknya boleh memasuki aliran darah, seterusnya merangsang tindak balas keradangan sistemik. Keradangan kronik ini meningkatkan rintangan insulin, iaitu keadaan di mana sel badan menjadi kurang responsif terhadap insulin. Akibatnya, glukosa sukar memasuki sel dan paras gula dalam darah menjadi lebih tinggi. Gambar 2 menunjukkan secara ringkas kaitan dua hala di antara penyakit gusi (periodontitis) dan diabetes.

Beberapa kajian klinikal telah menunjukkan bahawa pesakit diabetes yang juga menghidap periodontitis cenderung mempunyai bacaan HbA1c yang lebih tinggi berbanding mereka yang mempunyai gusi sihat. HbA1c ialah ukuran purata paras gula darah dalam tempoh dua hingga tiga bulan dan menjadi penunjuk penting tahap kawalan diabetes seseorang. Peningkatan kecil dalam HbA1c, walaupun hanya setengah peratus, mempunyai implikasi besar terhadap risiko komplikasi jangka panjang seperti penyakit jantung dan kegagalan buah pinggang.
Menariknya, apabila penyakit gusi dirawat secara menyeluruh melalui prosedur seperti scaling dan pengetaman akar (root planing), kesan positif turut dilihat pada kawalan gula darah. Ulasan sistematik dan meta-analisis yang diterbitkan dalam beberapa tahun kebelakangan ini melaporkan bahawa rawatan periodontal boleh menurunkan bacaan HbA1c secara purata sekitar 0.3 hingga 0.4 peratus dalam tempoh tiga hingga enam bulan selepas rawatan. Walaupun angka ini kelihatan kecil, tetapi impaknya dalam membantu mengawal tahap diabetes tidak dapat dinafikan. Penemuan ini mengukuhkan lagi hakikat bahawa kesihatan gusi memainkan peranan penting dalam pengurusan menyeluruh pesakit diabetes.
Dari sudut kesihatan awam, hubungan dua hala ini membawa implikasi yang besar. Di negara-negara yang mempunyai prevalens diabetes yang tinggi, beban penyakit gusi juga dijangka meningkat. Kehilangan gigi akibat periodontitis bukan sahaja menjejaskan fungsi mengunyah dan pertuturan, tetapi turut memberi kesan kepada keyakinan diri dan kualiti hidup seseorang. Apabila dikaitkan dengan kesukaran mengawal diabetes, beban penyakit ini menjadi lebih kompleks dan memerlukan pendekatan rawatan yang lebih bersepadu iaitu kerjasama di antara pasukan pergigian dan perubatan. Pesakit diabetes wajar dirujuk untuk pemeriksaan pergigian secara berkala, manakala pesakit yang hadir dengan periodontitis yang teruk boleh disarankan menjalani saringan gula darah jika terdapat faktor risiko lain. Kesedaran tentang hubungan ini perlu dipertingkatkan bukan sahaja dalam kalangan profesional kesihatan, tetapi juga dalam masyarakat umum.
Di peringkat individu, langkah pencegahan memainkan peranan utama. Kawalan gula darah yang baik membantu mengurangkan risiko dan keterukan penyakit gusi. Pada masa yang sama, penjagaan kebersihan mulut yang konsisten serta rawatan awal apabila terdapat tanda keradangan gusi sedikit sebanyak boleh membantu menstabilkan kawalan diabetes. Hubungan dua hala ini memberi mesej yang jelas bahawa mulut bukanlah entiti yang terpisah daripada tubuh badan, sebaliknya merupakan sebahagian daripada sistem kesihatan keseluruhan.
Kesimpulannya, penyakit gusi dan diabetes saling berinteraksi dalam satu kitaran yang boleh memperburuk keadaan antara satu sama lain jika tidak dikawal. Diabetes meningkatkan kerentanan terhadap jangkitan dan keradangan gusi, manakala periodontitis yang tidak dirawat menyumbang kepada kesukaran mengawal paras gula darah. Walau bagaimanapun, kitaran ini boleh diputuskan melalui kesedaran, pencegahan dan rawatan yang tepat pada masanya. Memahami hubungan tersembunyi ini adalah langkah pertama ke arah penjagaan kesihatan yang lebih menyeluruh dan berkesan. Dalam era perubatan moden yang semakin menekankan pendekatan holistik, kesihatan mulut tidak lagi boleh dipisahkan daripada kesihatan badan secara keseluruhan.
Kredit foto utama-kompashealth
Rujukan:
- Preshaw PM et al. Periodontitis and diabetes: a two-way relationship. Diabetologia. 2012.
- Simpson TC et al. Treatment of periodontal disease for glycaemic control in people with diabetes mellitus. Cochrane Review. 2022.
- Chen L et al. Impact of periodontal therapy on glycemic control: meta-analysis. Journal of Clinical Periodontology. 2021.
- Tonetti MS & Jepsen S. Impact of periodontal therapy on systemic health. J Clin Periodontol. 2017.
- Sanz M et al. Scientific evidence on the links between periodontitis and diabetes. J Clin Periodontol. 2018.





