Penulis: Dr. Nurul Wahida Binti Mohd Hasan¹ & Profesor Madya Dr. Zurairah Binti Berahim²
¹’² Pakar Pergigian Periodontik dan Pensyarah Pergigian,
Pusat Pengajian Sains Pergigian, Universiti Sains Malaysia
Gigi dan gusi merupakan dua komponen utama dalam kesihatan pergigian. Gigi berfungsi untuk menghancurkan makanan, membentuk muka, dan memainkan peranan penting dalam komunikasi dan pembacaan. Selain itu, gusi adalah struktur penyokong yang penting untuk kestabilan dan kesihatan gigi, kedua-duanya saling berkait. Gusi yang sihat dapat dilihat apabila tiada pendarahan semasa memberus gigi dan gigi tidak bergoyang. Penyakit gusi atau periodontal adalah antara penyakit mulut yang tersembunyi kerana ramai yang tidak menyedari bahawa mereka menghidap penyakit periodontal kerana tiada kesakitan jika di peringkat awal. Penyakit periodontal adalah isu kesihatan yang penting di seluruh dunia. Ia bukan sahaja memberi kesan kepada kesihatan mulut, malah boleh menjejaskan kesihatan keseluruhan. Menurut Pertubuhan Kesihatan Sedunia, penyakit ini menjejaskan hampir 3.7 bilion orang, menjadikannya salah satu masalah kesihatan awam utama di dunia. Di Malaysia, menurut Kajian Kesihatan Oral Kebangsaan Dewasa (NOHSA) 2020 melaporkan bahawa hampir 9 daripada 10 orang dewasa Malaysia mempunyai periodontium yang tidak sihat. Terdapat pelbagai jenis penyakit gusi atau periodontal, antara yang utama adalah ‘gingivitis’ dan ‘periodontitis’.
Penyakit periodontal, juga dikenali sebagai penyakit gusi, boleh berlaku pada bila-bila masa. Seperti pepatah Melayu, “Sedikit-sedikit, lama-lama menjadi bukit,” kejadiannya biasanya meningkat seiring usia. Walaupun ia boleh menjejaskan individu dalam lingkungan umur 30-an dan 40-an, ramai yang tidak menyedari tanda-tandanya sehingga usia tersebut. Menjelang umur 65 tahun, kira-kira 60% orang dewasa mengalami sejenis penyakit periodontal, dan lebih kurang 4 daripada 10 orang berumur 30 tahun ke atas menghidapinya.
Penyakit gusi gingivitis dan periodontitis
Gingivitis adalah penyakit gusi yang merupakan sejenis keradangan yang berlaku di bahagian gusi disebabkan oleh plak bakteria yang terkumpul di sekitar gigi dan gusi. Tanda-tanda utama gingivitis termasuk gusi yang bengkak, mudah berdarah apabila memberus gigi, serta rasa tidak selesa di kawasan mulut. Jika tidak dirawat, keadaan ini boleh berlarutan dan berkembang menjadi penyakit yang lebih serius.
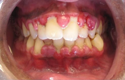
Periodontitis, pula, adalah bentuk keradangan gusi yang lebih serius dan berpotensi menyebabkan kehilangan tulang penyokong gigi. Selain daripada gusi yang bengkak dan bernanah, pesakit juga akan mengalami sakit yang tidak keterlaluan tetapi berterusan. Keadaan ini juga menyebabkan rasa tidak selesa ketika mengunyah makanan, bercakap, malah mengakibatkan bau mulut yang tidak menyenangkan. Nafas berbau dan rasa tidak selesa ini sebenarnya petanda awal bahawa penyakit gusi sedang berkembang ke tahap yang lebih serius.
Lebih membimbangkan lagi, jika rawatan tidak diambil segera, gigi akan mula bergoyang dan semakin bertambah goyang. Dalam kajian kebangsaan terbaru, dilaporkan bahawa sebanyak 38.2% penduduk Malaysia mengalami periodontitis iaitu penyakit gusi yang mampu merosakkan struktur sokongan gigi secara perlahan-lahan.


Rawatan penyakit gusi
Saringan penyakit gusi amat digalakkan dan terbukti berkesan dalam mengesan penyakit ini pada peringkat awal. Langkah ini dapat mengelakkan rawatan yang lebih kompleks dan mahal di kemudian hari. Selain itu, risiko kehilangan gigi juga meningkat jika penyakit gusi tidak dirawat segera dan rawatan lambat diberikan.
Rawatan untuk penyakit gusi biasanya bermula dengan langkah pencegahan, iaitu menegaskan pentingnya menjaga kebersihan mulut. Cara dan kekerapan menggosok gigi memainkan peranan utama kerana kebersihan mulut yang baik akan mempengaruhi keberkesanan rawatan dan proses penyembuhan.
Seterusnya, rawatan profesional seperti penskaleran dan pembersihan permukaan akar gigi atau yang dikenali sebagai ‘root surface debridement’ dilakukan menggunakan instrumen khas. Pesakit akan dipanggil untuk sesi penilaian semula bagi menilai keberkesanan rawatan tersebut dan memastikan keadaan periodontal kembali pulih.
Kesan jika penyakit gusi tidak dirawat
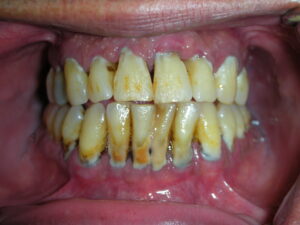
Kesedaran tentang pentingnya mendapatkan rawatan awal sangat kritikal kerana penyakit gusi yang tidak diubati boleh mengganggu fungsi mulut dan kesihatan gigi secara keseluruhan. Apabila mengalami penyakit gusi, bengkak dan pendarahan akan berlaku, dan jika dibiarkan, gusi akan mula menyusut. Penyusutan ini menyebabkan akar gigi terdedah, meningkatkan sensitiviti dan menyebabkan gigi kelihatan lebih panjang. Lama-kelamaan, gigi akan bergoyang dan berisiko tercabut sendiri.
Semakin banyak gigi yang hilang, semakin terjejas fungsi mengunyah dan penampilan senyuman. Oleh itu, rawatan awal sangat penting untuk mencegah situasi ini daripada berlaku.
Pencegahan adalah langkah terbaik untuk menjaga kesihatan gusi dan gigi. Pemeriksaan berkala dapat membantu mengesan penyakit gusi di peringkat awal, sekali gus memudahkan rawatan dan mengelakkan komplikasi serius. Kesedaran tentang pentingnya penjagaan gusi mesti dipupuk agar kita semua mampu mendapatkan rawatan sewajarnya apabila mengalami simptom penyakit gusi.
Akhir kata, “Gusi sihat, senyuman pun hebat!” Jadi, jagalah kesihatan mulut dari awal, kerana “Mencegah lebih baik daripada mengubati.” Ingatlah, menjaga kebersihan mulut dan menjalani pemeriksaan pergigian secara berkala adalah kunci untuk memastikan senyuman kekal sihat dan menawan!
INFO:
Kepentingan Mendapatkan Rawatan Penyakit Gusi
- Menjaga Kesihatan Gusi Secara Menyeluruh
Kesihatan gusi yang baik dapat mencegah daripada pendarahan, bengkak, dan inflamasi. Salah satu punca utama masalah ini adalah karang gigi, yang menjadi faktor penyumbang utama kepada pembentukan plak di atas dan di bawah garis gusi. Penjagaan yang rapi dan pemeriksaan berkala dapat membantu mengelakkan keadaan ini daripada bertambah buruk.
- Mengelakkan Gigi Sensitif
Gusi yang tidak sihat dan menyusut menyebabkan permukaan akar gigi terdedah. Keadaan ini menyebabkan gigi menjadi sangat sensitif terhadap makanan manis, minuman sejuk atau panas, serta makanan yang pedas dan berasid. Rawatan awal dapat membantu mengembalikan kesihatan gusi dan mencegah gigi menjadi lebih sensitif.
- Mengelakkan Nafas Berbau
Pembentukan plak dan karang gigi yang banyak akan menggalakkan aktiviti bakteria yang menyebabkan masalah gusi bertambah serius. Ini seterusnya menyebabkan mulut berbau tidak menyenangkan. Selain itu, cara menggosok gigi yang tidak efektif juga menyumbang kepada masalah ini. Rawatan dan penjagaan kebersihan mulut yang betul penting untuk bebas dari nafas berbau.
- Mengelakkan Kehilangan Gigi
Rawatan gusi yang awal dapat membantu menjaga kestabilan dan kekuatan gigi. Jika dibiarkan tanpa rawatan, gigi akan bergoyang dan berisiko tercabut secara sendiri. Kehilangan gigi bukan sahaja menjejaskan fungsi mengunyah, malah meningkatkan kos rawatan yang lebih tinggi seperti penggantian gigi palsu atau implan. Biasanya, pesakit baru mendapatkan rawatan apabila gigi mereka sudah bergoyang dan sakit ketika mengunyah, sedangkan sebaiknya rawatan dilakukan sebelum keadaan menjadi serius.





